Quando se trata de práticas sexuais, os limites entre prazer e perigo podem ser tênues. Recentemente, um incidente médico peculiar chocou tanto profissionais de saúde quanto o público. Um homem de 43 anos teve que ser submetido a uma intervenção cirúrgica de emergência após um ato extremo de satisfação sexual que deu errado, envolvendo uma escova de dentes. Este caso não só desafia os limites do entendimento comum, mas também serve como um alerta sobre os riscos de comportamentos sexuais não convencionais.

Um Caso Incomum
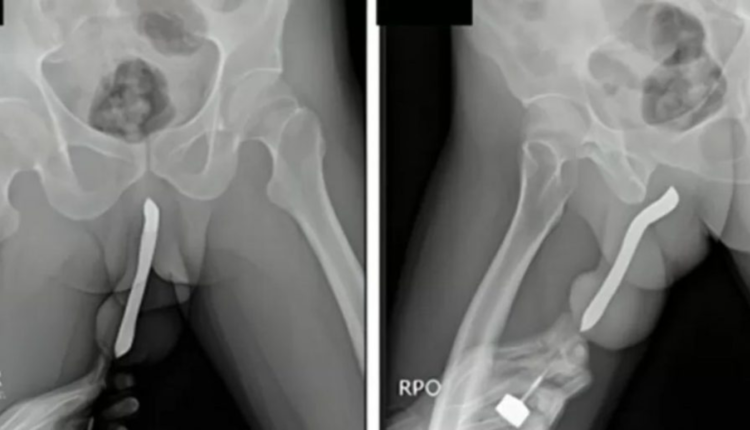
A história do homem que fraturou o pênis devido à inserção de uma escova de dentes revela um lado sombrio da exploração sexual pessoal. Chegando ao hospital com dores agudas, inchaço e hematomas, sua situação era o resultado de uma prática que ele havia adotado desde 2017. Essa autoinserção repetitiva não foi apenas um ato isolado, mas parte de um padrão de comportamento que culminou em uma lesão séria.
O incidente, ocorrido durante um ato sexual, envolveu a quebra da escova de dentes dentro de seu órgão genital, uma ocorrência tão bizarra quanto perigosa. Esse episódio levanta questões sobre os extremos que alguns indivíduos exploram em busca de satisfação sexual. O relatório médico detalha a extração cirúrgica do objeto e a subsequente recuperação do paciente, um processo que, por pouco, não resultou em consequências mais graves.
Reflexões sobre Práticas Sexuais Seguras
Este caso vai além do atendimento médico de emergência, lançando luz sobre a importância da educação sexual e da conscientização acerca das práticas sexuais seguras. A autoinserção de objetos no trato genital é uma prática que carrega riscos significativos, incluindo lesões, infecções e danos permanentes. O relato deste incidente serve como um lembrete contundente de que a exploração sexual deve sempre considerar a segurança e a saúde.
Especialistas em saúde reforçam a necessidade de dialogar abertamente sobre sexualidade, enfatizando métodos seguros e consensuais de exploração sexual. O caso em questão não apenas expõe as consequências físicas de práticas arriscadas, mas também destaca o papel crucial da educação sexual na prevenção de acidentes semelhantes. É imperativo que tais tópicos sejam discutidos de maneira franca e educacional, visando a proteção e o bem-estar de todos envolvidos.
O insólito caso do homem que sofreu lesões graves após inserir uma escova de dentes no pênis atesta os perigos potenciais de práticas sexuais extremas. Este incidente não apenas proporciona um alerta sobre os riscos associados a comportamentos sexuais imprudentes, mas também sublinha a necessidade de maior conscientização e educação em torno da sexualidade humana. A recuperação bem-sucedida do paciente enfatiza a importância da resposta médica rápida e eficaz, enquanto reitera o apelo por uma abordagem mais informada e segura em relação à exploração sexual.
Os comentários estão fechados, mas trackbacks E pingbacks estão abertos.